Odontogeninio žandinio sinusito diagnostika ir gydymas
Justas Kelbauskis, gyd. Nijolė Žalienė, gyd. Aidas Baškys
Įvadas
Odontogeninis žandinio (maksiliarinio) ančio gleivinės uždegimas, odontogeninis žandinis sinusitas (OŽS), yra dažna patologija. Ji būdinga įvairaus amžiaus žmonėms, bet dažniausiai ja serga 30–40 metų asmenys (1). Manoma, kad OŽS sudaro apie 10–12 proc. visų viršutinio žandikaulio ančio uždegimų (2), iš kurių net 90 proc. yra susiję su dantų patologija ar dantų gydymu (3). OŽS išsivysto burnos mikroflorai patekus į žandinį antį, todėl pažeidžiama jį dengianti gleivinė ir antkaulio membrana (Schneiderio membrana) (2, 4, 5). Klinikinėje ir kasdienėje gydytojų praktikoje būna atvejų, kai ūminis OŽS įgyja lėtinę eigą. Tokiu atveju pacientai simptomus gali jausti keletą metų. Pacientai, sergantys OŽS, skundžiasi įvairiais simptomais, iš kurių svarbiausi yra spaudimas žando srityje, vienoje veido pusėje, galvos skausmas, gausios, nemalonaus kvapo pūlingos išskyros iš nosies (2, 3). OŽS yra diagnozuojamas remiantis pacientų anamneze, skundais, fiziniu ištyrimu. Toliau atliekami radiologiniai tyrimai, kurie leidžia patvirtinti arba paneigti OŽS. Pagrindinis gydymo tikslas – pašalinti uždegimą sukėlusią priežastį.
Šiame straipsnyje aptariama OŽS diagnostika ir gydymo ypatumai.
OŽS diagnostika
Diagnozuojant žandinio ančio gleivinės uždegimą, atliekami tokie pat tyrimai kaip ir sergantiesiems ūminiu sinusitu pacientams. Po radikaliosios ančio operacijos ar įtariant navikinį procesą, paimama biopsinė medžiaga ir atliekamas histologinis tyrimas (3).
OŽS diagnostikai svarbi paciento anamnezė – simptomai neišnyksta paskyrus standartinį sinusito gydymą (2). Labai svarbi odontogeninė anamnezė: buvęs ar esamas dantų skausmas, dantų jautrumas perkusijai ar temperatūros pokyčiams, odontologinės procedūros (pvz., krūminių dantų pašalinimas) ir kt. (2, 4).
Svarbūs ir pacientų skundai, kurie gali būti labai ryškūs, ūminiai (febrilus karščiavimas, šaltkrėtis, apetito stoka, pablogėjusi bendra būklė, spaudimas žando srityje, galvos skausmas, nosies obstrukcija, pūlingos išskyros iš nosies) arba užsitęsusios eigos, jeigu lėtinis sinusitas atsinaujina (vienpusis galvos skausmas, galvos sunkumo jausmas, pasunkėjęs kvėpavimas dėl išskyrų iš nosies, kurios būna nemalonaus kvapo, uoslės susilpnėjimas, kuris gali progresuoti iki visiško uoslės išnykimo) (2, 3, 5).
Įvertinus nusiskundimus, atliekama fizinė paciento apžiūra (patinimas, odos paraudimas paakio, skruosto, apatinio voko srityje). Pastebėjus minėtus pakitimus, atliekama palpacija žandinio ančio projekcijoje (bukas skausmas, čiuopiami skausmingi ir padidėję sritiniai limfmazgiai). Pacientui atliekama perkusija (skausmingumas priekinėje ančio sienoje, kuri yra iltinės duobės srityje) (3).
Pacientui atliekama priekinė rinoskopija arba nosies endoskopinis tyrimas, kurio metu matomi pūliai vidurinėje nosies landoje (kai yra ančio obstrukcinių pakitimų, pūlių gali ir nesimatyti) (2, 3). Jei pašalinto danties alveolė susisiekia su ančių, pro ją gali skirtis blogo kvapo pūlingas sekretas (6).
Atlikus priekinę rinoskopiją, atliekama žandinio ančio punkcija su aspiracija. Jos pagrindinis tikslas – pašalinti pūlius ir atlikti mikrobiologinį turinio tyrimą. Tiriamoji medžiaga, norint sudaryti palankias sąlygas augti mikroorganizmams, sėjama į specialią mitybinę terpę. Taip tiksliai nustatomas OŽS sukėlėjas (7).
Atlikus kraujo tyrimą, gali būti nustatomi uždegimui būdingi pokyčiai (pvz., leukocitozė, padidėjęs neutrofilų absoliutus ir procentinis kiekis su formulės nuokrypių į kairę, padidėjusi C reaktyviojo baltymo koncentracija).
Galiausiai atliekami radiologiniai tyrimai, kurie jau vizualiai leidžia įtarti arba atmesti OŽS diagnozę (2–4, 6, 8, 9).
Yra rekomenduojama atlikti šias radiogramas:
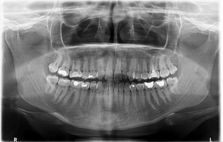
• panoraminę radiogramą (1 pav.) – vertinamas dantų santykis su žandinio ančio dugnu, pneumatizacija ir pseudocistos, šaknų, dantų pasislinkimas ar svetimkūniai antyje;
• tiriamosios pusės viršutinio žandikaulio kaplių, krūminių dantų, kartais ir ilties šaknų radiogramas;
• periapikalinę radiogramą (2 pav.) – gali būti matomas dantų pūlinys, periodonto patologija;
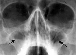
• ančių (Waters) radiogramą (3 pav.) – matomas žievinio kaulo netekimas, ančio gleivinės sustorėjimas, ančio užtemimas (2, 3, 6).
1 pav. Panoraminė radiograma (10)

2 pav. Periapikalinė radiograma (10)

3 pav. Ančių (Waters) radiograma, kurioje stebima skysčio ir oro linija dešiniame antyje (11)

Kartais, kai yra pašalintas uždegimą sukėlęs dantis ir įtariama, kad žandinis antis susijungia su burnos ertme, radiologinis tyrimas atliekamas su gutaperčios kaiščiu alveolėje (3). Uždegimui esant odontogeninės kilmės, ligą sukėlusio danties vainike bus stebimas danties ėduonis ar užpildas arti pulpos kameros. Stebimi ir periodonto radiologiniai pakitimai – padidėjęs ir išplatėjęs periodonto plyšys su kaulo destrukcija (3). Kartais antyje gali būti randama plombinės medžiagos ar lūžusių endodontinių instrumentų (2–4, 6). Pašalinus OŽS sukėlį dantį, žandiniam ančiui jungiantis su burnos ertme, matoma šio danties alveolė, nepripildyta kaulo, ir nevientisas, suardytas, su defektu žandinio ančio apatinės sienos radiologinis vaizdas. Atliktos žandinio ančio radiogramos yra lyginamos – dešinė yra lyginama su kaire (2). Radiologiniuose vaizduose stebimas gleivinės paburkimas, kuris gali būti lokalus, dėl pūlingo uždegimo matoma vadinamoji skysčio linija (3 pav.), užtemęs sinusas (2–4, 9).
Gali būti atliekama ir kompiuterinė tomografija (KT) – tai yra auksinis standartas diagnozuojant OŽS (4 pav.) (2). KT vertinamas periapikalinio pūlinio santykis su ančio dugnu, tiksli svetimkūnio vieta, žandinio ančio kaulinė erozija, oroantralinė fistulė (2, 3). Kaip ir panoraminėse radiogramose, gali būti randama plombinės medžiagos ar lūžusių endodontinių instrumentų antyje (3). Radiologiniuose vaizduose stebimas gleivinės paburkimas, kuris gali būti lokalus, matoma vadinamoji skysčio linija dėl pūlingo uždegimo. Žandiniam ančiui esant visiškai pripildytam pūlingo eksudato, KT vaizduose stebimas ančio oringumo sumažėjimas ir vadinamasis ro radiologinis vaizdas.
4 pav. Kairiojo žandinio ančio sinusito KT (12)
OŽS diferencinė diagnostika
Ūminis OŽS turėtų būti diferencijuojamas su:
• rinogeniniu sinusitu. Jie skiriasi tuo, kad OŽS dažniausiai būna vienpusis, o pakitimai nosies gleivinėje – minimalūs. Rinogeninis sinusitas dažniausiai būna abipusis, su pakitimais nosies gleivinėje;
• alerginiu sinusitu. Esant alerginiam sinusitui, pakitimai dažniausiai būna abipusiai, būdingas sezoniškumas, o, remiantis paciento anamneze, galima nustatyti ligos paūmėjimo priežastį. Ištyrus nosies išskyras, randama eozinofilų, daug informacijos suteikia ir alergologiniai tyrimai, nustatantys alergenus;
• trišakio nervo neuropatija, kuriai būdingi paroksizminiai skausmai, kai nėra ūminio uždegimo požymių (normali kūno temperatūra, nėra tinimo, išskyrų iš nosies);
• dantų pulpitu ir periodontitu. Nuo pulpito ir periodontito OŽS direfencijuojamas remiantis pulpos gyvybingumo testo, dantų ir aplinkinių audinių apžiūros, radiologinio tyrimo duomenimis.
Lėtinis OŽS turėtų būti diferencijuojamas su:
• viršutinių dantų šaknų cista, kuri gali pasireikšti kaip lėtinis OŽS. Cista gali keisti ančio sienelės anatomiją, t. y. suploninti, deformuoti ar net sukelti rezorbcinius procesus. Atliekant palpaciją, kai yra suplonėjusi priekinė sinuso sienelė, jaučiamas pergamentinio popieriaus traškesys, o esant rezorbcijai – fliuktuacija. Supūliavus cistai, būdinga ūminio sinusito klinika. Ši liga yra diferencijuojama atliekant radiologinį tyrimą, cistos punkciją, kurios metu gaunama skaidraus, gintaro spalvos skysčio su cholesterolio kristalais;
• ančio mukocele – tai gleivių susikaupimas ančio gleivinėje ir cistos susiformavimas joje. Kliniškai dažniausiai nepasireiškia, nustatoma atsitiktinai, atlikus radiologinį tyrimą;
• nepiktybiniais ir piktybiniais viršutinio žandikaulio navikais. Jie atskiriami nuo OŽS atlikus radiologinius, citologinius ir histologinius tyrimus. Esant pradinės stadijos piktybiniams navikams, ligos požymių galima ir nepastebėti. Ligai progresuojant, gali atsirasti simptomų, kurie būdingi lėtiniam sinusitui. Progresuojant navikui, ryškėja klinikiniai simptomai: atsiranda blogas nykstančių audinių kvapas, kraujingos išskyros iš nosies (labai svarbus požymis). Esant blogam ir neefektyviam gydymui, navikas gali progresuoti ir sukelti nosies, gomurio ir veido pakitimus (2–4, 9).
OŽS gydymas
Ūminio sinusito gydymas yra sudėtinis – konservatyvus ir chirurginis (2, 4). Sergant OŽS, jau pačioje gydymo pradžioje būtina nustatyti tikslią priežastį ir ją pašalinti. Dantų problemos yra gydomas endodontiniu būdu, o jei toks gydymas nėra veiksmingas, šalinamas uždegimą sukėlę dantys (3). Pašalinus dantis, būtina išsiaiškinti, ar yra atsivėręs žandinis antis ir ar iš jo teka pūlingos išskyros. Jei taip, atliekamas žandinio ančio ertmės plovimas pro susidariusį alveolėje defektą (3). Jokiu būdu negalima užsiūti angos dėl galimų sunkių komplikacijų, tokių kaip meningitas, sepsis (2, 4). Anga užsiuvama praėjus ūminiam uždegimui. Tais atvejais, kai vystosi periostitas, osteomielitas ar yra supūliavusi cista, daromi pjūviai uždegiminiam eksudatui drenuoti (3, 9). Karščiuojančiam ligoniui yra skiriamas gulimasis režimas ir antipiretikai. Kad lengviau nutekėtų išskyros iš ančių, į nosį lašinami vietiniai dekongestantai (lašinant galva turi būti atlošta ir pakreipta į tą pusę, į kurią yra lašinami vaistai) (1, 3). Skiriami antibakteriniai vaistai, veikiantys dažniausius OŽS sukeliančius mikroorganizmus: eritromicinas ar klindamicinas (1–3, 6). Jei yra alergija eritromicinui, galima skirti doksicikliną. Negerėjant bendrai būklei ar esant pūlingam uždegimui, atliekama žandinio ančio punkcija po apatine nosies kriaukle, naudojant specialią adatą, ir jo plovimas antiseptiniais tirpalais (11). Taip siekiama išplauti pūlius iš sinuso per natūralią angą. Į ančio ertmę galima suleisti antibakterinių preparatų (pagal antibiotikogramą). Atlikus ančio punkciją, būtina atlikti bakteriologinį išskyrų tyrimą ir skirti antibakterinius vaistus pagal antibiotikogramą. Punkcija dažniausiai atliekama sukėlus vietinę nejautrą, kurios trukmė būna apie 10–20 min. Žandinio sinuso vidinė kaulinė sienelė praduriama punkcine adata po apatine kriaukle (5 pav.). atliekant punkciją, galima įstumti ir palikti dreną pakartotiniam ančio plovimui (3, 11). Prieš sinusų punkciją derėtų vengti kraujavimą skatinančių vaistų (aspirino, diklofenako, krešėjimą mažinančių), pageidautina jų vartojimą nutraukti 2 savaitėms iki procedūros (11).
5 pav. Žandinio ančio punkcijos schema (11)

Po ančio punkcijos kelias dienas gali būti padidėjęs nosies audinių jautrumas, retais atvejais gali patinti veido minkštieji audiniai. Kelias dienas iš nosies gali tekėti vandeningos išskyros, kurios būna nusidažiusios seno kraujo spalva (11). Gydytojas gali išrašyti jūros druskos tirpalų, aliejinių ar nosies gleivinę sutraukiančių lašų, kad palengvėtų kvėpavimas ir pagreitėtų žaizdų gijimas. Pacientui patariama parą vengti fizinio krūvio. Gali būti skiriami antihistamininiai, nesteroidiniai vaistai nuo uždegimo. Po 5–6 dienų galima skirti fizioterapines procedūras (ultraaukšto dažnio sroves, elektroforezę) (3).
Lėtinis OŽS gydomas vaistais ir chirurginiu būdu. Kaip ir gydant ūminį OŽS, atliekamos ančio punkcijos (5 pav.), drenuojama ančio ertmė ir plaunama antiseptiniais tirpalais ir antibiotikais (3, 11). Be konservatyviojo gydymo, taikomos ir fizioterapinės procedūros (ultraaukšto dažnio srovės, elektroforezė). OŽS sukėlę dantys yra gydomi ar šalinami (6). Jeigu konservatyvusis gydymas nėra veiksmingas, reikalingas chirurginis gydymas. Jo pagrindinis tikslas – pašalinti pakitusią ančio gleivinę, uždegimines pūlingas išskyras, svetimkūnius iš ančio. Klasikiniai pavyzdžiai – radikalioji žandinio ančio Caldwello ir Luco operacija.
Caldwello ir Luco operacija dažniausiai atliekama sukėlus bendrąją nejautrą (6 pav.) (13). Nuo ilties iki krūminio danties pjaunama pereinamojoje raukšlėje per gleivinę, pogleivį, antkaulį. Toliau nuo kaulo yra atkeliamas gleivinės ir antkaulio lopas. Iltinėje duobėje atliekama kaulo trepanacija (padaroma anga, kurios skersmuo apie 1,5 cm). Šioje srityje ančio siena yra labai plona (0,2–0,25 mm storio) (9) ir negalima atsluoksniuoti antkaulio nuo kaulo, tad rekomenduojama kaulą pjauti taip, kad viršutinėje dalyje kaulinis dangtelis atsiverstų kaip knyga (3, 8, 11), taip siekiant išvengti pooperacinių komplikacijų (kraujavimo, veido tinimo, skausmo ir temperatūros pakilimo) (14). Baigiant operuoti, kaulinis dangtelis siūlu pritvirtinamas prie stabilios ančio sienelės – tai leidžia išvengti minkštųjų audinių deformacijos, užtikrina greitesnę kaulinio audinio regeneraciją. Pro angą išvaloma pakitusi ančio gleivinė, pašalinami svetimkūniai, pūlingos išskyros. Valant pakitusią ančio gleivinę, svarbu nepažeisti viršutinės ančio sienelės, kuri yra labai plona, nes tokiu būdu rizikuojama pažeisti paakinį nervą.
Išvalius ančio ertmę, susisiekiama su nosimi po apatine kriaukle. Svarbu atverti vidinę ančio sieną, kurios angos skersmuo yra apie 1 cm. Nosies gleivinė kaulinės angos srityje yra taip pat pašalinama.
6 pav. Radikalioji žandinio ančio operacijos schema (6)

Operacija baigiama atlikus hemostazę ir įdėjus į ančio ertmę sterilų tamponą, suvilgytą antiseptinėmis medžiagomis. Tampono galas yra įstumiamas į nosį pro angą po apatine nosies kriaukle. Po 2–3 parų tamponas yra pašalinamas pro nosį.
Kai kurie autoriai teigia, kad geriau atlikti endonazalines (endoskopines) operacijas, nes jos sukelia mažiau sunkiai gydomų pooperacinių komplikacijų ir mažiau traumuoja (9). Endoskopinės endonazalinės operacijos tikslas – išplatinus natūralią ančio angą, atlikti antrostomiją, per kurią pasišalintų uždegimo paveikti audiniai, polipai ar svetimkūniai (15).
Radikaliosios žandinio ančio operacijos komplikacijos:
• kraujavimas. Kraujuoja iš ančio sienelių kaulo kraujagyslių ir iš gleivinės. Operuojant atliekama hemostazė naudojant reikiamas medžiagas, mechaninį prispaudimą, elektrokoaguliaciją. Atsiradus kraujavimui po operacijos, reikia atlikti pooperacinės srities reviziją ir ieškoti kraujavimo židinio, stabdyti kraujavimą;
• skausmas, nemalonūs jutimai, sunkumo jausmas. Skausmas gali atsirasti pažeidus paakinį nervą (n. infraorbitalis) ir išlikti net kelis mėnesius ar likti visam laikui;
• recidyvuojantis žandinio ančio uždegimas su būdingais pasikartojančiais simptomais;
• neurologiniai pažeidimai – veido odos paakinėje srityje, alveolinės ataugos, viršutinės lūpos, viršutinio burnos prieangio gleivinės, viršutinių kaplių ir krūminių dantų operuotoje pusėje jautrumo sutrikimai (nejautra, parestezijos) (3, 6, 13, 14).
Kartais OŽS priežastis yra viršutinių krūminių dantų ar kaplių pašalinimas, kurių metu atsiranda defektas (perforacija) iš danties alveolės į antį. Perforacija gali atsirasti dėl netinkamo danties šalinimo būdo, kai yra pažeidžiama Schneiderio membrana, arba dėl dantų šaknų anatominių ypatumų (16). Norint, kad atsiradęs defektas nesukeltų uždegimo, reikia atlikti perforacijos plastiką naudojant gleivinės ir antkaulio lopą (2). Neretai OŽS priežastimi tampa ilgą laiką nesusiūta perforacija, dėl kurios susiformuoja fistulė, per kurią iš burnos ertmės į žandinį antį patenka uždegimą sukeliantys mikroorganizmai (3). Pašalinus viršutinius krūminius dantis ar kaplius, visada reikia įsitikinti, ar nėra susisiekimo su žandiniu ančiu. Esant susisiekimui su juo, būtina sudaryti sąlygas defektui užgyti. Nedideli defektai (iki 0,5 cm) gali sugyti be chirurginės intervencijos (13). Tokiu atveju alveolė yra pripildoma kraujo, o susidaręs krešulys fiksuojamas marliniu tamponėliu, suvilgytu antiseptiniais preparatais. Tamponėlis yra pritvirtinamas prie aplinkinių dantų siūlais. Jeigu tamponėlis nepritvirtinamas, jis gali patekti į antį ir sukelti uždegimą. Krešuliui fiksuoti galima naudoti ir hemostazinę kempinę, kuri yra įstumiama į antį.
Kai defektas yra didesnis nei 0,5 cm, taikomas chirurginis gydymo metodas – ančio perforacijos plastika naudojant gleivinės ir antkaulio lopą (3, 6). Yra suformuojamas trapecijos formos lopas iš burnos prieangio srities, kurio platėjantis pagrindas yra pereinamosios raukšlės srityje (7 pav.).
7 pav. Ančio perforacijos plastika naudojant gleivinės ir antkaulio lopą (3)

Vieną kartą yra pjaunama prieš alveolę, kitą – už jos. Toliau atkeliamas gleivinės ir antkaulio lopas. Ties lopo pagrindu (arčiau pereinamosios raukšlės) įpjaunama antkaulyje (lopo paslankumui padidinti). Audinių lopas užtempiamas ant alveolės ir prisiuvamas prie gomurio srities alveolės gleivinės (8 pav.). Siuvama pavienėmis siūlėmis nesirezorbuojančiu 4/0 ar 5/0 storio siūlu (3, 6). Labai svarbu, kad būtų gera lopo kraštų adaptacija ir nebūtų lopo audinių tempimo (13). Po operacijos svarbu nenaudoti didelės jėgos ir nesudaryti srovių (pvz., stiprus oro pūtimas per nosį), dėl kurių pakistų slėgis ir sukeltų fiksuoto defekto lopo pažeidimą.
8 pav. Ančio perforacijos plastikos, naudojant gleivinės ir antkaulio lopą, schema (6)

Defekto plastikai galima naudoti ir kitus būdus, kurie nėra paplitę ir jų prognozė ne visada yra gera:
• gomurio gleivinės ir antkaulio pasuktą lopą (17);
• į alveolę įdėti medžiagų, kurios skatina kaulo regeneraciją.
Jei pašalinus dantį atsiveria antis ir iš jo pūliuoja, alveolės defekto uždengti negalima. Tokiu atveju reikia drenuoti antį per alveolę. Pasibaigus pūliavimui, sprendžiama dėl tolesnio gydymo – radikaliosios operacijos arba susidariusios fistulės ar defekto plastikos.
Prognozė
Tinkamai gydomas ūminis ŽOS praeina per 2–3 savaites (18). Gydant netinkamai, gali išsivystyti minėtos komplikacijos ar lėtinis uždegimas. Lėtinio sinusito prognozė yra blogesnė, jam gydyti neretai taikomi chirurginiai metodai, galintys lemti būdingų pooperacinių komplikacijų.
Apibendrinimas
ŽOS – dažna liga, su kuria susiduria gydytojai otorinolaringologai bei veido ir žandikaulių chirurgai. Dažniausiai ŽOS suserga 30–40 metų asmenys. Manoma, kad ŽOS sudaro tik 10–12 proc. visų viršutinio žandikaulio ančio uždegimų, iš kurių net 90 proc. atvejų yra susiję su dantų patologija ar dantų gydymu.
ŽOS nustatomas remiantis pacientų skundais, iš kurių svarbiausi yra vienpusė proceso lokalizacija, netipiškos, gausios ir nemalonaus kvapo išskyros iš nosies, odontogeninės patologijos požymiai ties pažeistu ančiu. Įvertinus paciento nusiskundimus, gydytojas toliau tiria pacientą (apžiūra, palpacija, perkusija). Siekdamas detalesnės informacijos, gydytojas atlieka kraujo, vaizdinimo tyrimus (radiogramas ir / ar kompiuterinę tomografiją) ir skiria gydymą. Pastarasis dažniausiai būna kompleksinis – pradedama nuo konservatyviojo gydymo vaistais, fizioterapijos, o šiems esant neveiksmingiems skiriamas chirurginis gydymas.
Dantų problemos yra gydomas endodontiniu būdu, o jei toks gydymas nėra veiksmingas, pašalinami uždegimą sukėlę dantys. Chirurginis gydymas yra dvejopas: gali būti atliekama klasikinė operacija (radikalioji žandinio ančio Caldwello ir Luco) arba ančio perforacijos plastika naudojant gleivinės ir antkaulio lopą. Pacientų prognozė po gydymo paprastai yra gera, retais atvejais liga gali įgyti lėtinę eigą.
Leidinys „Internistas” Nr. 3 2018 m.
LITERATŪRA
1. Prieiga internetu: https://emedicine.medscape.com/article/232670-overview.
2. Lesinskas E. Ausų, nosies ir gerklės ligos. Vilnius: Vilniaus Universiteto leidykla, 2014, p. 432.
3. Olekas J. Veido, Žandikaulių ir burnos chirurgija. Vilnius: Vaistų žinios, 2008, p. 710.
4. Kišonas A, Povilaitis K, Kinduris V, Uloza V. Ausų, nosies, gerklės ligos. Vilnius; 1994. p. 117-118, 148-149.
5. Boyne P, James RA. Grafting of the maxillary sinus floor with autogenous marrow and bone. J Oral Maxillofac Surg 1980;38:113–116.
6. Ugincius P, Kubilius R, Gervickas A, Vaitkus S. Chronic odontogenic maxillary sinusitis, Stomatologija, Baltic Dental and Maxillofacial Journal 2006; 8: 44-8.
7. Čerkašina AL, Pavilionis A, Vaičiuvėnas V. Medicinos mikrobiologija ir virusologijos pagrindai. Kaunas: Vitae Litera, 2005, p. 712.
8. Mehra P, Murad H. Maxillary sinus disease of odontogenic origin. Otolaryngol Clin North Am 2004; 37: 347-64.
9. Шаргородский АГ. Одонтогенный синусит верхней челюсти. // Клиника, диагностика, лечение и профилактика воспалительных заболеваний лица и шеи // Под ред. Шаргородского АГ. – М.: Гэотар-Мед, 2002, 359-390.
10. Nuotrauka iš „MB AB odontologijos klinika“.
11. Prieiga internetu: http://www.dariusrauba.lt/wp-content/uploads/2013/09/zandinio-ancio-punkcija.pdf
12. Prieiga internetu: https://radiopaedia.org/cases/odontogenic-maxillary-sinusitis
13. Dimitroulis G.A. synopsis of minor oral surgery. Wright 2000, 99-112.
14. Low WK. Complications of the Caldwell-Luc operation and how to avoid them. Aust N Z J Surg 1995;6:582-4.
15. Prieiga internetu: https://entokey.com/the-caldwell-luc-technique/
16. Prieiga internetu: http://www.emedicina.lt/lt/zurnalai/otorinolaringologijos_aktualijos/otorinolaringologijos_aktualijos_2011/1/letinis_odontogeninis_zandinis_sinuitas-_etiologija_patogeneze_klinika.html
17. Prieiga internetu: http://www.scielo.br/pdf/rgo/v63n4/0103-6971-rgo-63-04-00496.pdf
18. Colman BH. Diseases of nose, throat and ear, and head and neck. 14 th ed. Churchill Livingstone 1993, 49-66.